Απλαστική αναιμία: η νόσος με τον “άδειο” μυελό
28-2-2021
Κατερίνα Παπαϊωάννου
Παναγιώτης Δημητρίου
Τέντι Ποτσάι

Η απλαστική αναιμία ως κλινική οντότητα είναι γνωστή από το 1988, όταν περιγράφηκε για πρώτη φορά από το PaulEhrlich.
Ως όρος όμως είναι γνωστός από το 1904, όπως αποδόθηκε από τον Chauffard.
Η απλαστική αναιμία ορίζεται ως πανκυτταροπενία (έλλειψη όλων των κυτταρικών στοιχείων του αίματος) σε συνδυασμό με μειωμένη κυτταροβρίθεια (απλασία) του μυελού των οστών.
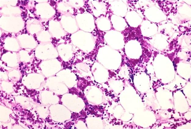
Ιστολογικά παρατηρούμε αντικατάσταση του αιμοποιητικού ιστού-μυελού από λίπος.
(PaulEhrlich-Γερμανοεβραίος γιατρός και επιστήμονας ο οποίος εργάστηκε στα πεδία της ανοσολογίας, της αιματολογίας και της αντιμικροβιακής χημειοθεραπείας)
Μυελός των οστών
Ο μυελός των οστών αποτελεί το “εργοστάσιο” παραγωγής του αίματος μας. Ο μυελός βρίσκεται μέσα στα μακρά οστά, στο στέρνο και μέσα στα οστά της λεκάνης. Φυσιολογικά, αποτελείται κυρίως από διάφορα κύτταρα και σε μικρότερο ποσοστό από λίπος. Στα κύτταρα αυτά περιλαμβάνονται και τα αρχέγονα αιμοποιητικά κύτταρα (stem cells).
Από τα αρχέγονα αιμοποιητικά κύτταρα παράγονται όλα τα κύτταρα του αίματος μας. Τα κύτταρα αυτά μπορούν να αυτοπολλαπλασιάζονται και έτσι να μην εξαντλούνται καθ’όλη τη διάρκεια της ζωής μας. Παράλληλα όμως παράγουν τα κύτταρα του αίματος που όταν είναι αρκετά ώριμα φεύγουν από το μυελό και μπαίνουν στην κυκλοφορία του αίματος μας.
Επιδημιολογία
Είναι σπάνια πάθηση στις ανεπτυγμένες χώρες με 2-4 νέες περιπτώσεις ανά εκατομμύριο πληθυσμού κατά έτος. Στην Αμερική υπολογίζεται ότι ο αριθμός αυτός φτάνει συνολικά τα 600-900 νέα περιστατικά κάθε χρόνο.
Η νόσος είναι πολύ πιο συνήθης σε μερικά άλλα μέρη του κόσμου π.χ στην Ανατολική Ασία.
Η αναλογία ανδρών / γυναικών για την επίκτητη απλαστική αναιμία είναι περίπου 1: 1, αν και έχει αναφερθεί ανδρική υπεροχή σε μελέτες από ασθενείς στην Ασία.
Παρόλο που η απλαστική αναιμία εμφανίζεται σε όλες τις ηλικιακές ομάδες, το ποσοστό είναι αυξημένο στην ηλικιακή ομάδα 10-25 ετών λόγω της ύπαρξης κληρονομικών διαταραχών.
Η μέση ηλικία εμφάνισης είναι γύρω στη δεύτερη με τρίτη δεκαετία της ζωής.
Στις περιοχές που η συχνότητα της νόσου είναι αυξημένη φαίνεται πως οι περιπτώσεις είναι πιο ήπιες σε βαρύτητα και εμφανίζουν καλύτερη πορεία σχετικά με την πορεία και βαρύτητα της ασθένειας στις ανεπτυγμένες δυτικές χώρες.
Αιτιολογία
ΕΠΙΚΤΗΤΗ
- Πρωτοπαθής/Ιδιοπαθής
Όταν δεν διαπιστώνεται με βεβαιότητα ο υπεύθυνος παράγοντας και ενοχοποιείται μία διαταραχή ενός κυτταρικού αιμοποιητικού κλώνου μέσω ανοσολογικών ή άλλων μηχανισμών (πρόκειται για τις περισσότερες περιπτώσεις απλαστικής αναιμίας).
- Δευτεροπαθής
Όταν ο παράγοντας είναι γνωστός.
ΣΥΓΓΕΝΕΙΣ-ΚΛΗΡΟΝΟΜΙΚΕΣ
Για παράδειγμα, η κληρονομική αναιμία του Fanconi.
Παθοφυσιολογία
3 φαίνεται πως είναι οι κύριοι παθοφυσιολογικοί μηχανισμοί που οδηγούν σε μια εικόνα ενός «άδειου» μυελού των οστών:
- Άμεση βλάβη στο μυελό των οστών: Οι βλάβες αυτές συχνά εμφανίζονται ιατρογενώς, μετά από έκθεση σε χημειοθεραπεία και ακτινοβολία. Ωστόσο, άμεση βλάβη μπορεί να προκληθεί και από συγκεκριμένους ιούς όπως της ηπατίτιδας (B και C), ο κυτταρομεγαλοιός, ο Ebstein Barr, ο παρβοιός Β19 και ο ιός της ανθρώπινης ανοσοανεπάρκειας. Δεν πρέπει να ξεχνάμε ότι εργαζόμενοι σε βιομηχανίες με έντονη έκθεση σε χημικές ουσίες, τοξικές για τον άνθρωπο μπορεί να οδηγήσουν σε απλαστική αναιμία και συνήθως αναρρώνουν με την άρση του αιτίου. Σε κάθε περίπτωση το αποτέλεσμα είναι η βλάβη των βλαστικών αιμοποιητικών κυττάρων.
- Μεταλλάξεις: Μία σχετικά μικρή πιθανότητα είναι ένα άτομο να κληρονομήσειμία μετάλλαξη από συγγενείς και να αποκτήσει ελλαττωματικά γονίδια, τα οποία φυσιολογικά είναι απαραίτητα για την διατήρηση της ακεραιότητας των κυττάρων και της ανοσολογικής ρύθμισης (ένα κληρονομικό σύνδρομο είναι η αναιμία Fanconi).
- Απόκλιση της ανοσολογικής λειτουργίας: Οι περισσότερες περιπτώσεις της επίκτητης και ιδιοπαθούς απλαστικής αναιμίας είναι καθαρά αποτέλεσμα ανοσολογικών μηχανισμών με τελική κατάληξη την καταστροφή των αρχέγονων αιμοποιητικών κυττάρων. Σε αυτή την κατηγορία ενοχοποιήθηκαν τα Τ κυτταροτοξικά κύτταρα, καθώς εμφανίζονται λειτουργικά και φαινοτυπικά ενεργοποιημένα. Η υπερπαραγωγή προ-φλεγμονωδών κυτοκινών, συμπεριλαμβανομένων της ιντερφερόνης-γ και TNF-α, αναστέλλει το αιματοποιητικό σύστημα και οδηγεί σε απόπτωση κυττάρων. Για αυτό τον λόγο καλείται και αυτοάνοσο νόσημα με καταστροφικές συνέπειες για τον μυελό των οστών.
Το κοινό αποτέλεσμα είναι η αντικατάσταση του μυελού των οστών από λίπος!
Κλινική εικόνα
Προφανώς, η κλινική εικόνα του ασθενούς είναι αποτέλεσμα της έλλειψης των λειτουργικών κυττάρων στην περιφέρεια του αίματος.
Πιο συγκεκριμένα, τα συμπτώματα που παρατηρούμε είναι:
-
Αναιμίας:Τα χαρακτηριστικά συμπτώματα που εκδηλώνονται στις αναιμίες είναι η εύκολη κόπωση, η ωχρότητα, η δύσπνοια στην προσπάθεια, πονοκέφαλοι και ζαλάδες
-
Θρομβοπενίας:Λόγω των μειωμένων αιμοπεταλίων, απαραίτητων για την πήξη του αίματος, υπάρχουν μεγάλες πιθανότητες για αιμορραγίες στα διάφορα μέρη του σώματος και εμφάνιση μελανιών.
-
Ουδετεροπενίας:Λόγω των μειωμένων λευκών αιμοσφαιρίων έχουμε εικόνα λοιμώξεων και πυρετού. Σε σπάνιες περιπτώσεις μπορεί να υπάρχει και σπληνομεγαλία.
Έτσι, σε περίπτωση που παρατηρήσουμε στα ούρα και τα κόπρανα ίχνη αιμορραγίας καθώς και εκχυμώσεις στο δέρμα, σε συνδυασμό με κόπωση και συχνές λοιμώξεις, πρέπει να αρχίσουμε να υποψιαζόμαστε μήπως αυτά τα ευρήματα οφείλονται σε απλαστική αναιμία(όχι ειδικά ευρήματα).
Διερεύνηση και διαφορική διάγνωση
Η διάγνωση της απλαστικής αναιμίας μπορεί να αποτελεί μια εύκολη διάγνωση σε κάποιες περιπτώσεις, αλλά σε κάποιες άλλες μπορεί να αποτελεί μια πολύπλοκη διαδικασία.
Ο θεράπων ιατρός ρωτά αρχικά ερωτήσεις για το αν ο ασθενής έχει εκτεθεί στους προδιαθεσικούς παράγοντες που σχετίζονται με την απλαστική αναιμία. Στη συνέχεια θα πρέπει να γίνουν οι απαραίτητες εργαστηριακές εξετάσεις για να μπορέσει να γίνει η τελική διάγνωση της απλαστικής αναιμίας.
-
Η γενική αίματος δείχνει πανκυτταροπενία με χαμηλό αριθμό ή και απουσία δικτυοερυθροκυττάρων
-
Η εξέταση του μυελού των οστών δείχνει υποπλαστικό μυελό με αυξημένες περιοχές λιπώδους ιστού
Παράδειγμα Γενικής Αίματος Ασθενούς με απλαστική αναιμία : Ουδετερόφιλα (500) , Αιμοπετάλια ( 20.000), Αιμοσφαιρίνη (11gdl), Δικτυοερθροκύτταρα( 0,0050)
Η διαφορική διάγνωση αφορά τις λοιπές αιτίες πανκυτταροπενίας.
Για την εκτίμηση της κυτταροβρίθειας του μυελού θα προβούμε σε μυελόγραμμα και οστεομυελική βιοψία.
Η βιοψία του μυελού των οστών είναι απαραίτητη για την εκτίμηση της περιεκτικότητας σε κύτταρα του μυελού των οστών.
Κατά τη διάρκεια αυτής της εξέτασης, ένα δείγμα μυελού των οστών αφαιρείται από το ισχίο με ειδική βελόνα. Χρησιμοποιείται τοπικό αναισθητικό. Ο γιατρός θα ελέγξει τον αριθμό και την μορφολογία των προγονικών κυττάρων του αίματος.
Σε άτομα ηλικίας 20-30 ετών θα υπάρξει αναζήτηση πιθανών κληρονομικών συνδρόμων.
Ο γιατρός μπορεί επίσης να εξετάσει τη λειτουργία των νεφρών ή να προχωρήσει σε άλλες σχετικές εξετάσεις.
(Ιστολογική εικόνα απλαστικής αναιμίας)
Λοιπές αιτίες πανκυτταροπενίας
- Χημικές ουσίες ( π.χ βενζόλιο)
- Φάρμακα (π.χ άλατα χρυσού, χλωραμφενικόλη, κυτταροστατικά)
- Εντομοκτόνα
- Ιονίζουσα ακτινοβολία
- Λοιμώξεις(π.χ ιογενής ηπατίτιδα, HIV, λοιμώδης μονοπυρήνωση)
- Παροξυσμική νυχτερινή αιμοσφαιρινουρία
- Προχωρημένη σήψη
Όλες αυτές οι αιτίες ενοχοποιούνται για την ανάπτυξη απλαστικής αναιμίας.
Παράγοντες που μπορεί να αυξήσουν τον κίνδυνο
- Έκθεση σε τοξικές χημικές ουσίες
- Χημειοθεραπεία και ακτινοβολίες κατά την θεραπεία του καρκίνου
- Εγκυμοσύνη ( σπάνια)
Βαρύτητα απλαστικής αναιμίας
Η απλαστική αναιμία, ανάλογα με τις τιμές στο περιφερικό αίμα, ταξινομείται σε:
Μέτρια απλαστική αναιμία
Βαριά απλαστική αναιμία ( δύο από τα κάτωθι κριτήρια)
- Ουδετερόφιλα < 500 / cmm,
- Αιμοπετάλια < 20,000/cmm,
- Δικτυοερυθροκύτταρα < 0-0.5%
Πολύ βαριά απλαστική αναιμία
- Ουδετερόφιλα < 200 / cmm
Σε όλες τις περιπτώσεις όμως, η κυτταροβρίθεια του μυελού είναι <30%.
Θεραπεία
Η επιλογή της κατάλληλης θεραπευτικής αγωγής καθορίζεται από την ηλικία του ασθενούς, τη γενική του κατάσταση και ύπαρξη συνοδών νοσημάτων, τη βαρύτητα της απλαστικής αναιμίας και από το αν υπάρχει συγγενής που να είναι συμβατός με τον ασθενή, ώστε να γίνει δότης μυελού των οστών.
- Αλλογενής μεταμόσχευση μυελού των οστών: Αποτελεί θεραπεία εκλογής σε νέους ασθενείς <40 ετών με σοβαρή απλαστική αναιμία και χωρίς συννοσηρότητες, που έχουν συγγενή συμβατό δότη. Με τη μεταμόσχευση οι ασθενείς λαμβάνουν τα βλαστικά κύτταρα (stem cells) που χρειάζεται ο μυελός τους ώστε να γίνει σωστά η αιμοποίηση. Αν η μεταμόσχευση γίνει άμεσα και πετύχει, ουσιαστικά επιτυγχάνεται «ίαση», με άμεση βελτίωση στις αιματολογικές παραμέτρους.
Θα μπορούσε να χρησιμοποιηθεί και περιφερικό αίμα ως μόσχευμα, όμως μελέτες έχουν δείξει, πως οι ασθενείς ανταποκρίνονται καλύτερα σε μόσχευμα από το μυελό και ο κίνδυνος για επιπλοκές, όπως η νόσος μοσχεύματος εναντίον ξενιστή (Graft versus Host Diseasse) και για οξεία απόρριψη μοσχεύματος είναι μικρότερος.
- Ανοσοκατασταλτική Αγωγή: Χρησιμοποιείται ως θεραπεία πρώτης γραμμής σε ασθενείς >40 ετών (για τους οποίους θα ήταν επικίνδυνο εγχείρημα η μεταμόσχευση) και σε ασθενείς που είναι <40 ετών αλλά δεν έχουν συγγενή συμβατό δότη. Η αγωγή περιλαμβάνει ορό αντιθυμοκυτταρικής ή αντιλεμφοκυτταρικής σφαιρίνης (ATG ή ALG), σε συνδυασμό με κυκλοσπορίνη από το στόμα. Η κυκλοσπορίνη χορηγείται για τουλάχιστον 6 μήνες και όταν αποφασιστεί από τον ιατρό η μείωση της δόσης, πρέπει να γίνεται πολύ σταδιακά. Στις θεραπευτικές επιλογές υπάρχουν επίσης ο G–CSF (αυξητικός παράγοντας κοκκιοκυττάρων) και τα ανδρογόνα, που αμφότερα έχουν χορηγηθεί συνδυαστικά με το κύριο σχήμα αγωγής.
Στο 50-70% των περιπτώσεων υπάρχει καλή ανταπόκριση των ασθενών με βελτίωση των αιματολογικών παραμέτρων εντός 3-6 μηνών, καθώς και πολύ καλή μακροχρόνια επιβίωση. Σε περίπτωση μη ανταπόκρισης στην ανοσοκατασταλτική αγωγή ή υποτροπής, μπορεί να χορηγηθεί νέος κύκλος αυτής ή αν ο ασθενής είναι νέος και σε καλή κατάσταση ίσως είναι εφικτό να υποβληθεί σε μεταμόσχευση από μη συγγενή δότη. Αυτές οι αποφάσεις λαμβάνονται για τον κάθε ασθενή εξατομικευμένα. Επίσης, οι ασθενείς πρέπει να παρακολουθούνται τακτικά, γιατί υπάρχει κίνδυνος να μεταπέσουν σε άλλες κλωνικές διαταραχές της αιμοποίησης (πχ κάποιο μυελοδυσπλαστικό σύνδρομο, παροξυσμική νυχτερινή αιμοσφαιρινουρία).
- Eltrombopag: Πρόκειται για ένα φάρμακο που συνδέεται στους υποδοχείς θρομβοποιητίνης και διεγείρει την παραγωγή αιμοπεταλίων, γι αυτό αρχικά είχε χρησιμοποιηθεί μόνο στη θεραπεία καταστάσεων που σχετίζονται με θρομβοπενία, όπως η ιδιοπαθής θρομβοπενική πορφύρα. Όμως φάνηκε ότι έχει θετική επίδραση και στο σχηματισμό τόσο των λευκών όσο και των ερυθρών αιμοσφαιρίων. Χορηγείται λοιπόν σε ασθενείς με σοβαρή απλαστική αναιμία που δεν έχουν ανταποκριθεί στην ανοσοκατασταλτική αγωγή και που δεν μπορούν να υποβληθούν σε μεταμόσχευση μυελού. Επίσης ενθαρρυντικά είναι τα αποτελέσματα και από το συνδυασμό του με το σχήμα αντιθυμοκυτταρικής σφαιρίνης-κυκλοσπορίνης.
- Μεταγγίσεις αίματος και υποστηρικτική αγωγή: Οι ασθενείς με απλαστική αναιμία και χαμηλές τιμές αιματοκρίτη και αιμοπεταλίων συνήθως χρειάζονται υποστηρικτικές μεταγγίσεις συμπυκνωμένων ερυθρών και αιμοπεταλίων αντίστοιχα. Αυτή η απόφαση όμως πρέπει να βασίζεται και στη γενικότερη κλινική κατάσταση του ασθενούς, όχι μόνο σε αυτούς τους αριθμούς. Μπορεί να εμφανιστεί αντίδραση του ανοσοποιητικού μετά τη μετάγγιση, αλλά υπάρχουν μέθοδοι που μειώνουν αυτή την πιθανότητα (χορήγηση αίματος χωρίς λευκά, ακτινοβόληση προϊόντων αίματος). Μακροπρόθεσμα, μπορεί να χρειαστεί απομάκρυνση του σιδήρου που μπορεί να έχει συσσωρευτεί στον οργανισμό.
Επιπλέον, για την αντιμετώπιση αλλά και την πρόληψη των λοιμώξεων που μπορεί να προκύψουν λόγω της ουδετεροπενίας που προκαλεί η απλαστική αναιμία, χορηγούνται αντιβιοτικά ευρέως φάσματος.
Συνοψίζοντας
Η απλαστική αναιμία είναι μια νόσος που απαιτεί έγκαιρη διάγνωση και επιλογή της καταλληλότερης αντιμετώπισης, σύμφωνα με αυτά που ορίζουν τα πρωτόκολλα και οι οδηγίες, αλλά και εξατομικευμένα για τον κάθε ασθενή. Οι ασθενείς με τη σειρά τους θα πρέπει να υιοθετήσουν κάποιες συνήθειες, που θα τους βοηθήσουν να προστατευτούν από καταστάσεις στις οποίες είναι πλέον πιο επιρρεπείς. Συγκεκριμένα, λόγω του χαμηλού αιματοκρίτη, πρέπει να φροντίζουν να μην εξαντλούν τον οργανισμό τους με έντονη άσκηση, προσέχοντας παράλληλα πολύ και τους τραυματισμούς, γιατί λόγω των χαμηλών αιμοπεταλίων θα είναι πιο δύσκολο να σταματήσει ακόμα και μια φαινομενικά απλή αιμορραγία. Τέλος, καθώς η άμυνα του οργανισμού είναι πεσμένη γιατί τα ουδετερόφιλα είναι χαμηλά, πρέπει να δίνεται ιδιαίτερη προσοχή στην πρόληψη των λοιμώξεων, που θα επιτευχθεί μέσω της αποφυγής χώρων με συνωστισμό, της εφαρμογής των κανόνων υγιεινής, αλλά και μέσω της ισορροπημένης διατροφής.
Βιβλιογραφία
- https://www.mayoclinic.org/diseases-conditions/aplastic-anemia/symptoms-causes/syc-20355015
- ‘’ΑΡΧΕΣ ΠΑΘΟΦΥΣΙΟΛΟΓΙΑΣ’’ Μουτσόπουλου, Εκδόσεις Π.Χ.ΠΑΣΧΑΛΙΔΗΣ ISBN 9789925563340,BROKENHILLpublishersltd
- https://www.hopkinsmedicine.org/kimmel_cancer_center/types_cancer/aplastic_anemia.html
- https://emedicine.medscape.com/article/198759-overview
- https://www.ncbi.nlm.nih.gov/pmc/articles/PMC6467577/
- https://www.healthyliving.gr/2013/02/26/aplastikh-anaimia-symtomata-aitia-uerapeia/
- https://eclass.uoa.gr/modules/document/index.php?course=MED839&download=/561b7b537Cjd/5693669btqCC.pdf
- https://ashpublications.org/blood/article/129/11/1428/35931/How-I-treat-acquired-aplastic-anemia
- https://www.ema.europa.eu/en/documents/overview/revolade-epar-medicine-overview_el.pdf
- Diagnosis and Treatment of Aplastic Anemia https://www.ncbi.nlm.nih.gov/pmc/articles/PMC5804354/
- Aplastic Anemia Treatment & Management https://emedicine.medscape.com/article/198759-treatment#d15
- https://www.aamds.org/diseases/aplastic-anemia
- DAVIDSON Γενικές Αρχές και Κλινική Πράξη της Ιατρικής Παθολογίας
TrueMed-ForLivingMore
Κοινοποιήστε
Αρχές Βιοηθικής και Διαχείρισης των Ζώων στην Βιοϊατρική Έρευνα και την Κτηνιατρική Επιστήμη
Η παρούσα μελέτη, προσεγγίζοντας το ζήτημα των καινοτόμων θεραπευτικών σχημάτων επιχειρεί να αναδείξει το ευρύτερο πλαίσιο και τις αρχές στο πεδίο της βιοηθικής και διαχείρισης των ζώων στην βιοϊατρική έρευνα και την κτηνιατρική επιστήμη
Βήμα προς βήμα το θερμικό σοκ σε ένα βρέφος
Το θερμικό σοκ σε βρέφη είναι ταχύτατα εξελισσόμενο και δυνητικά θανατηφόρο.
Κάθε λεπτό καθυστέρησης αυξάνει τον κίνδυνο βλάβης ή θανάτου.
ΡΟΗ ΕΙΔΗΣΕΩΝ
Βρείτε μας στο Facebook και στο Instagram
| Επικοινωνία | Η ομάδα μας | Διαφημιστείτε στη truemed.gr| | Όροι χρήσης | Προσωπικά δεδομένα | Copyright©Truemed | |Για περισσότερη ζωή |
Designed – Developed by Premiumweb.gr
© 2019 TrueMed Media. All rights reserved. Our website services, content, and products are for informational purposes only. TrueMed Media does not provide medical advice, diagnosis, or treatment.
Απλαστική αναιμία: η νόσος με τον “άδειο” μυελό
28-2-2021
Κατερίνα Παπαϊωάννου
Παναγιώτης Δημητρίου
Τέντι Ποτσάι

Η απλαστική αναιμία ως κλινική οντότητα είναι γνωστή από το 1988, όταν περιγράφηκε για πρώτη φορά από το PaulEhrlich.
Ως όρος όμως είναι γνωστός από το 1904, όπως αποδόθηκε από τον Chauffard.
Η απλαστική αναιμία ορίζεται ως πανκυτταροπενία (έλλειψη όλων των κυτταρικών στοιχείων του αίματος) σε συνδυασμό με μειωμένη κυτταροβρίθεια (απλασία) του μυελού των οστών.
Ιστολογικά παρατηρούμε αντικατάσταση του αιμοποιητικού ιστού-μυελού από λίπος.
(PaulEhrlich-Γερμανοεβραίος γιατρός και επιστήμονας ο οποίος εργάστηκε στα πεδία της ανοσολογίας, της αιματολογίας και της αντιμικροβιακής χημειοθεραπείας)
Μυελός των οστών
Ο μυελός των οστών αποτελεί το “εργοστάσιο” παραγωγής του αίματος μας. Ο μυελός βρίσκεται μέσα στα μακρά οστά, στο στέρνο και μέσα στα οστά της λεκάνης. Φυσιολογικά, αποτελείται κυρίως από διάφορα κύτταρα και σε μικρότερο ποσοστό από λίπος. Στα κύτταρα αυτά περιλαμβάνονται και τα αρχέγονα αιμοποιητικά κύτταρα (stem cells).
Από τα αρχέγονα αιμοποιητικά κύτταρα παράγονται όλα τα κύτταρα του αίματος μας. Τα κύτταρα αυτά μπορούν να αυτοπολλαπλασιάζονται και έτσι να μην εξαντλούνται καθ’όλη τη διάρκεια της ζωής μας. Παράλληλα όμως παράγουν τα κύτταρα του αίματος που όταν είναι αρκετά ώριμα φεύγουν από το μυελό και μπαίνουν στην κυκλοφορία του αίματος μας.
Επιδημιολογία
Είναι σπάνια πάθηση στις ανεπτυγμένες χώρες με 2-4 νέες περιπτώσεις ανά εκατομμύριο πληθυσμού κατά έτος. Στην Αμερική υπολογίζεται ότι ο αριθμός αυτός φτάνει συνολικά τα 600-900 νέα περιστατικά κάθε χρόνο.
Η νόσος είναι πολύ πιο συνήθης σε μερικά άλλα μέρη του κόσμου π.χ στην Ανατολική Ασία.
Η αναλογία ανδρών / γυναικών για την επίκτητη απλαστική αναιμία είναι περίπου 1: 1, αν και έχει αναφερθεί ανδρική υπεροχή σε μελέτες από ασθενείς στην Ασία.
Παρόλο που η απλαστική αναιμία εμφανίζεται σε όλες τις ηλικιακές ομάδες, το ποσοστό είναι αυξημένο στην ηλικιακή ομάδα 10-25 ετών λόγω της ύπαρξης κληρονομικών διαταραχών.
Η μέση ηλικία εμφάνισης είναι γύρω στη δεύτερη με τρίτη δεκαετία της ζωής.
Στις περιοχές που η συχνότητα της νόσου είναι αυξημένη φαίνεται πως οι περιπτώσεις είναι πιο ήπιες σε βαρύτητα και εμφανίζουν καλύτερη πορεία σχετικά με την πορεία και βαρύτητα της ασθένειας στις ανεπτυγμένες δυτικές χώρες.
Αιτιολογία
ΕΠΙΚΤΗΤΗ
- Πρωτοπαθής/Ιδιοπαθής
Όταν δεν διαπιστώνεται με βεβαιότητα ο υπεύθυνος παράγοντας και ενοχοποιείται μία διαταραχή ενός κυτταρικού αιμοποιητικού κλώνου μέσω ανοσολογικών ή άλλων μηχανισμών (πρόκειται για τις περισσότερες περιπτώσεις απλαστικής αναιμίας).
- Δευτεροπαθής
Όταν ο παράγοντας είναι γνωστός.
ΣΥΓΓΕΝΕΙΣ-ΚΛΗΡΟΝΟΜΙΚΕΣ
Για παράδειγμα, η κληρονομική αναιμία του Fanconi.
Παθοφυσιολογία
3 φαίνεται πως είναι οι κύριοι παθοφυσιολογικοί μηχανισμοί που οδηγούν σε μια εικόνα ενός «άδειου» μυελού των οστών:
- Άμεση βλάβη στο μυελό των οστών: Οι βλάβες αυτές συχνά εμφανίζονται ιατρογενώς, μετά από έκθεση σε χημειοθεραπεία και ακτινοβολία. Ωστόσο, άμεση βλάβη μπορεί να προκληθεί και από συγκεκριμένους ιούς όπως της ηπατίτιδας (B και C), ο κυτταρομεγαλοιός, ο Ebstein Barr, ο παρβοιός Β19 και ο ιός της ανθρώπινης ανοσοανεπάρκειας. Δεν πρέπει να ξεχνάμε ότι εργαζόμενοι σε βιομηχανίες με έντονη έκθεση σε χημικές ουσίες, τοξικές για τον άνθρωπο μπορεί να οδηγήσουν σε απλαστική αναιμία και συνήθως αναρρώνουν με την άρση του αιτίου. Σε κάθε περίπτωση το αποτέλεσμα είναι η βλάβη των βλαστικών αιμοποιητικών κυττάρων.
- Μεταλλάξεις: Μία σχετικά μικρή πιθανότητα είναι ένα άτομο να κληρονομήσειμία μετάλλαξη από συγγενείς και να αποκτήσει ελλαττωματικά γονίδια, τα οποία φυσιολογικά είναι απαραίτητα για την διατήρηση της ακεραιότητας των κυττάρων και της ανοσολογικής ρύθμισης (ένα κληρονομικό σύνδρομο είναι η αναιμία Fanconi).
- Απόκλιση της ανοσολογικής λειτουργίας: Οι περισσότερες περιπτώσεις της επίκτητης και ιδιοπαθούς απλαστικής αναιμίας είναι καθαρά αποτέλεσμα ανοσολογικών μηχανισμών με τελική κατάληξη την καταστροφή των αρχέγονων αιμοποιητικών κυττάρων. Σε αυτή την κατηγορία ενοχοποιήθηκαν τα Τ κυτταροτοξικά κύτταρα, καθώς εμφανίζονται λειτουργικά και φαινοτυπικά ενεργοποιημένα. Η υπερπαραγωγή προ-φλεγμονωδών κυτοκινών, συμπεριλαμβανομένων της ιντερφερόνης-γ και TNF-α, αναστέλλει το αιματοποιητικό σύστημα και οδηγεί σε απόπτωση κυττάρων. Για αυτό τον λόγο καλείται και αυτοάνοσο νόσημα με καταστροφικές συνέπειες για τον μυελό των οστών.
Το κοινό αποτέλεσμα είναι η αντικατάσταση του μυελού των οστών από λίπος!
Κλινική εικόνα
Προφανώς, η κλινική εικόνα του ασθενούς είναι αποτέλεσμα της έλλειψης των λειτουργικών κυττάρων στην περιφέρεια του αίματος.
Πιο συγκεκριμένα, τα συμπτώματα που παρατηρούμε είναι:
-
Αναιμίας:Τα χαρακτηριστικά συμπτώματα που εκδηλώνονται στις αναιμίες είναι η εύκολη κόπωση, η ωχρότητα, η δύσπνοια στην προσπάθεια, πονοκέφαλοι και ζαλάδες
-
Θρομβοπενίας:Λόγω των μειωμένων αιμοπεταλίων, απαραίτητων για την πήξη του αίματος, υπάρχουν μεγάλες πιθανότητες για αιμορραγίες στα διάφορα μέρη του σώματος και εμφάνιση μελανιών.
-
Ουδετεροπενίας:Λόγω των μειωμένων λευκών αιμοσφαιρίων έχουμε εικόνα λοιμώξεων και πυρετού. Σε σπάνιες περιπτώσεις μπορεί να υπάρχει και σπληνομεγαλία.
Έτσι, σε περίπτωση που παρατηρήσουμε στα ούρα και τα κόπρανα ίχνη αιμορραγίας καθώς και εκχυμώσεις στο δέρμα, σε συνδυασμό με κόπωση και συχνές λοιμώξεις, πρέπει να αρχίσουμε να υποψιαζόμαστε μήπως αυτά τα ευρήματα οφείλονται σε απλαστική αναιμία(όχι ειδικά ευρήματα).
Διερεύνηση και διαφορική διάγνωση
Η διάγνωση της απλαστικής αναιμίας μπορεί να αποτελεί μια εύκολη διάγνωση σε κάποιες περιπτώσεις, αλλά σε κάποιες άλλες μπορεί να αποτελεί μια πολύπλοκη διαδικασία.
Ο θεράπων ιατρός ρωτά αρχικά ερωτήσεις για το αν ο ασθενής έχει εκτεθεί στους προδιαθεσικούς παράγοντες που σχετίζονται με την απλαστική αναιμία. Στη συνέχεια θα πρέπει να γίνουν οι απαραίτητες εργαστηριακές εξετάσεις για να μπορέσει να γίνει η τελική διάγνωση της απλαστικής αναιμίας.
-
Η γενική αίματος δείχνει πανκυτταροπενία με χαμηλό αριθμό ή και απουσία δικτυοερυθροκυττάρων
-
Η εξέταση του μυελού των οστών δείχνει υποπλαστικό μυελό με αυξημένες περιοχές λιπώδους ιστού
Παράδειγμα Γενικής Αίματος Ασθενούς με απλαστική αναιμία : Ουδετερόφιλα (500) , Αιμοπετάλια ( 20.000), Αιμοσφαιρίνη (11gdl), Δικτυοερθροκύτταρα( 0,0050)
Η διαφορική διάγνωση αφορά τις λοιπές αιτίες πανκυτταροπενίας.
Για την εκτίμηση της κυτταροβρίθειας του μυελού θα προβούμε σε μυελόγραμμα και οστεομυελική βιοψία.
Η βιοψία του μυελού των οστών είναι απαραίτητη για την εκτίμηση της περιεκτικότητας σε κύτταρα του μυελού των οστών.
Κατά τη διάρκεια αυτής της εξέτασης, ένα δείγμα μυελού των οστών αφαιρείται από το ισχίο με ειδική βελόνα. Χρησιμοποιείται τοπικό αναισθητικό. Ο γιατρός θα ελέγξει τον αριθμό και την μορφολογία των προγονικών κυττάρων του αίματος.
Σε άτομα ηλικίας 20-30 ετών θα υπάρξει αναζήτηση πιθανών κληρονομικών συνδρόμων.
Ο γιατρός μπορεί επίσης να εξετάσει τη λειτουργία των νεφρών ή να προχωρήσει σε άλλες σχετικές εξετάσεις.
(Ιστολογική εικόνα απλαστικής αναιμίας)
Λοιπές αιτίες πανκυτταροπενίας
- Χημικές ουσίες ( π.χ βενζόλιο)
- Φάρμακα (π.χ άλατα χρυσού, χλωραμφενικόλη, κυτταροστατικά)
- Εντομοκτόνα
- Ιονίζουσα ακτινοβολία
- Λοιμώξεις(π.χ ιογενής ηπατίτιδα, HIV, λοιμώδης μονοπυρήνωση)
- Παροξυσμική νυχτερινή αιμοσφαιρινουρία
- Προχωρημένη σήψη
Όλες αυτές οι αιτίες ενοχοποιούνται για την ανάπτυξη απλαστικής αναιμίας.
Παράγοντες που μπορεί να αυξήσουν τον κίνδυνο
- Έκθεση σε τοξικές χημικές ουσίες
- Χημειοθεραπεία και ακτινοβολίες κατά την θεραπεία του καρκίνου
- Εγκυμοσύνη ( σπάνια)
Βαρύτητα απλαστικής αναιμίας
Η απλαστική αναιμία, ανάλογα με τις τιμές στο περιφερικό αίμα, ταξινομείται σε:
Μέτρια απλαστική αναιμία
Βαριά απλαστική αναιμία ( δύο από τα κάτωθι κριτήρια)
- Ουδετερόφιλα < 500 / cmm,
- Αιμοπετάλια < 20,000/cmm,
- Δικτυοερυθροκύτταρα < 0-0.5%
Πολύ βαριά απλαστική αναιμία
- Ουδετερόφιλα < 200 / cmm
Σε όλες τις περιπτώσεις όμως, η κυτταροβρίθεια του μυελού είναι <30%.
Θεραπεία
Η επιλογή της κατάλληλης θεραπευτικής αγωγής καθορίζεται από την ηλικία του ασθενούς, τη γενική του κατάσταση και ύπαρξη συνοδών νοσημάτων, τη βαρύτητα της απλαστικής αναιμίας και από το αν υπάρχει συγγενής που να είναι συμβατός με τον ασθενή, ώστε να γίνει δότης μυελού των οστών.
- Αλλογενής μεταμόσχευση μυελού των οστών: Αποτελεί θεραπεία εκλογής σε νέους ασθενείς <40 ετών με σοβαρή απλαστική αναιμία και χωρίς συννοσηρότητες, που έχουν συγγενή συμβατό δότη. Με τη μεταμόσχευση οι ασθενείς λαμβάνουν τα βλαστικά κύτταρα (stem cells) που χρειάζεται ο μυελός τους ώστε να γίνει σωστά η αιμοποίηση. Αν η μεταμόσχευση γίνει άμεσα και πετύχει, ουσιαστικά επιτυγχάνεται «ίαση», με άμεση βελτίωση στις αιματολογικές παραμέτρους.
Θα μπορούσε να χρησιμοποιηθεί και περιφερικό αίμα ως μόσχευμα, όμως μελέτες έχουν δείξει, πως οι ασθενείς ανταποκρίνονται καλύτερα σε μόσχευμα από το μυελό και ο κίνδυνος για επιπλοκές, όπως η νόσος μοσχεύματος εναντίον ξενιστή (Graft versus Host Diseasse) και για οξεία απόρριψη μοσχεύματος είναι μικρότερος.
- Ανοσοκατασταλτική Αγωγή: Χρησιμοποιείται ως θεραπεία πρώτης γραμμής σε ασθενείς >40 ετών (για τους οποίους θα ήταν επικίνδυνο εγχείρημα η μεταμόσχευση) και σε ασθενείς που είναι <40 ετών αλλά δεν έχουν συγγενή συμβατό δότη. Η αγωγή περιλαμβάνει ορό αντιθυμοκυτταρικής ή αντιλεμφοκυτταρικής σφαιρίνης (ATG ή ALG), σε συνδυασμό με κυκλοσπορίνη από το στόμα. Η κυκλοσπορίνη χορηγείται για τουλάχιστον 6 μήνες και όταν αποφασιστεί από τον ιατρό η μείωση της δόσης, πρέπει να γίνεται πολύ σταδιακά. Στις θεραπευτικές επιλογές υπάρχουν επίσης ο G–CSF (αυξητικός παράγοντας κοκκιοκυττάρων) και τα ανδρογόνα, που αμφότερα έχουν χορηγηθεί συνδυαστικά με το κύριο σχήμα αγωγής.
Στο 50-70% των περιπτώσεων υπάρχει καλή ανταπόκριση των ασθενών με βελτίωση των αιματολογικών παραμέτρων εντός 3-6 μηνών, καθώς και πολύ καλή μακροχρόνια επιβίωση. Σε περίπτωση μη ανταπόκρισης στην ανοσοκατασταλτική αγωγή ή υποτροπής, μπορεί να χορηγηθεί νέος κύκλος αυτής ή αν ο ασθενής είναι νέος και σε καλή κατάσταση ίσως είναι εφικτό να υποβληθεί σε μεταμόσχευση από μη συγγενή δότη. Αυτές οι αποφάσεις λαμβάνονται για τον κάθε ασθενή εξατομικευμένα. Επίσης, οι ασθενείς πρέπει να παρακολουθούνται τακτικά, γιατί υπάρχει κίνδυνος να μεταπέσουν σε άλλες κλωνικές διαταραχές της αιμοποίησης (πχ κάποιο μυελοδυσπλαστικό σύνδρομο, παροξυσμική νυχτερινή αιμοσφαιρινουρία).
- Eltrombopag: Πρόκειται για ένα φάρμακο που συνδέεται στους υποδοχείς θρομβοποιητίνης και διεγείρει την παραγωγή αιμοπεταλίων, γι αυτό αρχικά είχε χρησιμοποιηθεί μόνο στη θεραπεία καταστάσεων που σχετίζονται με θρομβοπενία, όπως η ιδιοπαθής θρομβοπενική πορφύρα. Όμως φάνηκε ότι έχει θετική επίδραση και στο σχηματισμό τόσο των λευκών όσο και των ερυθρών αιμοσφαιρίων. Χορηγείται λοιπόν σε ασθενείς με σοβαρή απλαστική αναιμία που δεν έχουν ανταποκριθεί στην ανοσοκατασταλτική αγωγή και που δεν μπορούν να υποβληθούν σε μεταμόσχευση μυελού. Επίσης ενθαρρυντικά είναι τα αποτελέσματα και από το συνδυασμό του με το σχήμα αντιθυμοκυτταρικής σφαιρίνης-κυκλοσπορίνης.
- Μεταγγίσεις αίματος και υποστηρικτική αγωγή: Οι ασθενείς με απλαστική αναιμία και χαμηλές τιμές αιματοκρίτη και αιμοπεταλίων συνήθως χρειάζονται υποστηρικτικές μεταγγίσεις συμπυκνωμένων ερυθρών και αιμοπεταλίων αντίστοιχα. Αυτή η απόφαση όμως πρέπει να βασίζεται και στη γενικότερη κλινική κατάσταση του ασθενούς, όχι μόνο σε αυτούς τους αριθμούς. Μπορεί να εμφανιστεί αντίδραση του ανοσοποιητικού μετά τη μετάγγιση, αλλά υπάρχουν μέθοδοι που μειώνουν αυτή την πιθανότητα (χορήγηση αίματος χωρίς λευκά, ακτινοβόληση προϊόντων αίματος). Μακροπρόθεσμα, μπορεί να χρειαστεί απομάκρυνση του σιδήρου που μπορεί να έχει συσσωρευτεί στον οργανισμό.
Επιπλέον, για την αντιμετώπιση αλλά και την πρόληψη των λοιμώξεων που μπορεί να προκύψουν λόγω της ουδετεροπενίας που προκαλεί η απλαστική αναιμία, χορηγούνται αντιβιοτικά ευρέως φάσματος.
Συνοψίζοντας
Η απλαστική αναιμία είναι μια νόσος που απαιτεί έγκαιρη διάγνωση και επιλογή της καταλληλότερης αντιμετώπισης, σύμφωνα με αυτά που ορίζουν τα πρωτόκολλα και οι οδηγίες, αλλά και εξατομικευμένα για τον κάθε ασθενή. Οι ασθενείς με τη σειρά τους θα πρέπει να υιοθετήσουν κάποιες συνήθειες, που θα τους βοηθήσουν να προστατευτούν από καταστάσεις στις οποίες είναι πλέον πιο επιρρεπείς. Συγκεκριμένα, λόγω του χαμηλού αιματοκρίτη, πρέπει να φροντίζουν να μην εξαντλούν τον οργανισμό τους με έντονη άσκηση, προσέχοντας παράλληλα πολύ και τους τραυματισμούς, γιατί λόγω των χαμηλών αιμοπεταλίων θα είναι πιο δύσκολο να σταματήσει ακόμα και μια φαινομενικά απλή αιμορραγία. Τέλος, καθώς η άμυνα του οργανισμού είναι πεσμένη γιατί τα ουδετερόφιλα είναι χαμηλά, πρέπει να δίνεται ιδιαίτερη προσοχή στην πρόληψη των λοιμώξεων, που θα επιτευχθεί μέσω της αποφυγής χώρων με συνωστισμό, της εφαρμογής των κανόνων υγιεινής, αλλά και μέσω της ισορροπημένης διατροφής.
Βιβλιογραφία
- https://www.mayoclinic.org/diseases-conditions/aplastic-anemia/symptoms-causes/syc-20355015
- ‘’ΑΡΧΕΣ ΠΑΘΟΦΥΣΙΟΛΟΓΙΑΣ’’ Μουτσόπουλου, Εκδόσεις Π.Χ.ΠΑΣΧΑΛΙΔΗΣ ISBN 9789925563340,BROKENHILLpublishersltd
- https://www.hopkinsmedicine.org/kimmel_cancer_center/types_cancer/aplastic_anemia.html
- https://emedicine.medscape.com/article/198759-overview
- https://www.ncbi.nlm.nih.gov/pmc/articles/PMC6467577/
- https://www.healthyliving.gr/2013/02/26/aplastikh-anaimia-symtomata-aitia-uerapeia/
- https://eclass.uoa.gr/modules/document/index.php?course=MED839&download=/561b7b537Cjd/5693669btqCC.pdf
- https://ashpublications.org/blood/article/129/11/1428/35931/How-I-treat-acquired-aplastic-anemia
- https://www.ema.europa.eu/en/documents/overview/revolade-epar-medicine-overview_el.pdf
- Diagnosis and Treatment of Aplastic Anemia https://www.ncbi.nlm.nih.gov/pmc/articles/PMC5804354/
- Aplastic Anemia Treatment & Management https://emedicine.medscape.com/article/198759-treatment#d15
- https://www.aamds.org/diseases/aplastic-anemia
- DAVIDSON Γενικές Αρχές και Κλινική Πράξη της Ιατρικής Παθολογίας
TrueMed-ForLivingMore
Κοινοποιήστε
ΔΙΑΒΑΣΤΕ ΕΠΙΣΗΣ
Βρείτε μας στο Facebook
Και στο Instagram
Επικοινωνία
Η ομάδα μας
Διαφημιστείτε στη truemed.gr
Όροι χρήσης
Προσωπικά δεδομένα
Copyright©Truemed
Για περισσότερη ζωή
Designed – Developed by Premiumweb.gr
© 2019 TrueMed Media. All rights reserved. Our website services, content, and products are for informational purposes only. TrueMed Media does not provide medical advice, diagnosis, or treatment.
Αρθρογράφος - Social Media Brand Manager
Ο Τέντι Ποτσάι γεννήθηκε στις 12 Οκτωβρίου το 2000 στην Λαμία. Από μικρή ηλικία είχε αποφασίσει πως το επάγγελμα που θα ήθελε να ακολουθήσει είναι η ιατρική καθώς του αρέσει να βοηθάει ανθρώπους.
Ιδιότητα: Φοιτητής ιατρικής ιωαννίνων
Λοιπά προσόντα:
- Κάτοχος πτυχίου αγγλικών επιπέδου Β2 (lower) του πανεπιστημίου Cambridge
- Βασική γνώση Η/Υ- Περιβάλλον windows
- Κάτοχος Ευρωπαικού διπλώματος πρώτων βοηθειών
Ημερίδες-Συνέδρια:
- Διαχείριση επειγόντων περιστατικών: NEURO-ER EDITION
- Eπείγουσες καταστάσεις στην εσωτερική παθολογία
- Ημερίδα μεταμοσχεύσεων
- Learning Strategies about Drugs
Επιπλέον Δραστηριότητες:
- Αθλητικές δραστηριότητες
- Ταξίδια
Πόλη που θα ήθελε να ζήσει:Νέα Υόρκη
Μεγαλύτερος φόβος:Φίδια
Αγαπημένη παιδική ταινία:Μαδαγασκάρη
Αγαπημένο quote:Life begins at the end of your comfort zone
Αριθμός άρθρων που έχει γράψει στην Truemed: 2








