Υδροκέφαλος: Από την νευρολογία στην κλινική πορεία του συμμάχου της Άνοιας!
18-2-2024
Ευαγγελία Κυλλέκογλου

Τον τέταρτο αιώνα π.Χ., ο Ιπποκράτης ξεκίνησε να περιγράφει με επιστημονικά ξεκάθαρο τρόπο την εμφάνιση του υδροκέφαλου. Στην σημερινή εποχή ο υδροκέφαλος ή Υδροκεφαλία εμφανίζεται με μεγάλη συχνότητα στις παιδικές ηλικίες ενώ ταυτόχρονα παρατηρείται εμφάνιση της νόσου και στους ενήλικες. Ωστόσο, πολλές φορές, μπορούν τα συμπτώματα της να παρερμηνευθούν με συμπτώματα άνοιας του τύπου Alzheimer. Ας αναλύσουμε παρακάτω τις χαρακτηριστικές ενδείξεις που θα μπορούσαν να μας προβληματίσουν για την εμφάνιση του υδροκέφαλου.
Τι είναι ο Υδροκέφαλος;
Αν αναλύσουμε την λέξη αυτή, θα παρατηρήσουμε ότι προέρχεται από την λέξη ύδωρ (νερό) και κεφάλι. Έτσι, λοιπόν, με πολύ απλό τρόπο μπορούμε να πούμε ότι, ο υδροκέφαλος αφορά την συγκέντρωση υγρού μέσα στην κρανιακή κοιλότητα. Συγκεκριμένα, η νευρολογική αυτή πάθηση χαρακτηρίζεται από αύξηση του όγκου του Εγκεφαλονωτιαίου υγρού, με αποτέλεσμα την συσσώρευση υγρού μέσα στις κοιλότητες των κοιλίων του εγκεφάλου. Αυτό προκαλεί διάταση των κοιλίων του εγκεφάλου και ασκώντας πίεση στον εγκέφαλο και στο κρανίο, προκαλεί εκτεταμένη βλάβη στις νευρωνικές δομές.
Γιατί εμφανίζεται ο υδροκέφαλος;
Ο υδροκέφαλος μπορεί να συμβεί είτε λόγω συγγενούς ανωμαλίας, είτε εμφανίζεται αργότερα στη ζωή (Επίκτητος).
Ο Συγγενής υδροκέφαλος αναπτύσσεται στα έμβρυα μέσα στην μήτρα κατά την διάρκεια της εμβρυικής ανάπτυξης. Περίπου το 80-90% των εμβρύων ή των νεογέννητων βρεφών με δισχιδή ράχη αναπτύσσουν υδροκέφαλο.
Η εμφάνιση Επίκτητου υδροκέφαλου μπορεί να είναι συνέπεια λοιμώξεων στο Κεντρικό Νευρικό Σύστημα, μηνιγγίτιδας, όγκων του εγκεφάλου, κρανιακού τραύματος, προσβολής από πλασμώδιο (τοξοπλάσμωση) ή ενδοκρανιακής αιμορραγίας (υπαραχνοειδής ή ενδοπαρεγχυματικής)
Ποια είναι η παθοφυσιολογία πίσω από την εμφάνιση υδροκέφαλου;
Η υπερβολική ποσότητα εγκεφαλονωτιαίου υγρού (ΕΝΥ) μέσα στις κοιλίες μπορεί να είναι αποτέλεσμα τριών παραγόντων:
- Υπερέκκριση ΕΝΥ
- Μειωμένη ροή ΕΝΥ
- Επαναρρόφηση ΕΝΥ
Έτσι διακρίνουμε 4 χαρακτηριστικούς τύπους υδροκέφαλου ανάλογα με τον τρόπο που το Εγκεφαλονωτιαίο υγρό αυξάνεται σε ποσότητα:
Επικοινωνούν Υδροκέφαλος:
Συμβαίνει όταν η ροή του εγκεφαλονωτιαίου υγρού μπλοκάρεται μετά την έξοδό του από τις κοιλίες. Αυτή η μορφή ονομάζεται επικοινωνούν επειδή το ΕΝΥ μπορεί ακόμα να ρέει μεταξύ των κοιλιών και οι δίοδοι μεταξύ τους παραμένουν ανοιχτές.
Μη Επικοινωνούν Υδροκέφαλος:
Συμβαίνει όταν η ροή του ΕΝΥ παρεμποδίζεται κατά μήκος μιας ή περισσότερων από τις στενές διόδους που συνδέουν τις κοιλίες. Δηλαδή, έχουμε απόφραξης εντός του κοιλιακού συστήματος π.χ. Σε στένωση στον υδραγωγό του Sylvius (αποφρακτικός υδροκέφαλος ή μη-επικοινωνούν υδροκέφαλος).
Υδροκέφαλος Φυσιολογικής πίεσης (NPH) :
Σε αυτήν την περίπτωση, οι κοιλίες του εγκεφάλου έχουν αυξημένο μέγεθος, όμως η πίεση του εγκεφαλονωτιαίου υγρού είναι φυσιολογική.
Yδροκέφαλος ex-vacuo:
Προκύπτει από εγκεφαλική βλάβη που προκαλείται από εγκεφαλικό επεισόδιο ή τραυματισμό. Σε αυτές τις περιπτώσεις, οι εγκεφαλικοί ιστοί γύρω από τις κοιλίες συρρικνώνονται και οι κοιλίες είναι μεγαλύτερες εξαιτίας αυτού. Δεν είναι πραγματικός υδροκέφαλος αλλά μια κατάσταση που μοιάζει με υδροκέφαλο.
Ποια είναι τα συμπτώματα του Υδροκέφαλου;
Η πίεση που προκαλείται στον εγκέφαλο εκδηλώνεται συνήθως με μια τριάδα συμπτωμάτων που είναι:
- η αστάθεια στο περπάτημα,
- η αδυναμία ελέγχου της ουροδόχου κύστεως και
- οι διαταραχές στην μνήμη.
Άλλα συνοδά συμπτώματα αποτελούν ο πονοκέφαλος, η θόλωση της όρασης, σύγχυση, υπνηλία και συχνά έμετος.
Ποια είναι τα συμπτώματα στα βρέφη;
- Γρήγορη αύξηση του μεγέθους της κεφαλής και ένα ασυνήθιστα μεγάλο κεφάλι
- Ένα εξόγκωμα στην πρόσθια πηγή (fontanel) του κεφαλιού
- Εμετός
- Προβλήματα με το πιπίλισμα ή τη σίτιση
- Υπνηλία
- Μάτια που είναι στραμμένα προς τα κάτω (“ηλιοβασίλεμα”) ή δεν μπορούν να στρίψουν προς τα έξω
- Επιληπτικές κρίσεις
Τι είναι ο υδροκέφαλος φυσιολογικής πίεσης (NPH);
Εμφανίζεται σε ασθενείς άνω των 60-65 ετών και αφορά την συσσώρευση του εγκεφαλονωτιαίου υγρού χωρίς την αύξηση της πίεσης του. Μπορεί να προκληθεί από υπαραχνοειδή αιμορραγία, τραυματική βλάβη εγκεφάλου, λοίμωξη, όγκο ή ως επιπλοκή μετά από μία χειρουργική επέμβαση.
Ωστόσο, πολλοί άνθρωποι αναπτύσσουν υδροκέφαλο φυσιολογικής πίεσης ακόμα και όταν κανένας από αυτούς τους παράγοντες δεν είναι παρών και για λόγους που δεν είναι γνωστοί. Σε αυτή την περίπτωση ονομάζεται ιδιοπαθής υδροκέφαλος φυσιολογικής πίεσης.
Οι ασθενείς εμφανίζουν αστάθεια στη βάδιση, ακράτεια ούρων και νοητική έκπτωση με ανοιακές εκδηλώσεις. Είναι χαρακτηριστικό ότι πολλοί από τους ασθενείς με υδροκέφαλο φυσιολογικής πίεσης νιώθουν ότι τα πόδια τους «κολλάνε στο πάτωμα» όταν περπατούν.
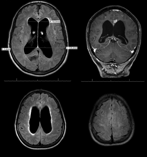
Πως θα διαγνώσουμε έναν ασθενή με υδροκέφαλο;
Ο Υδροκέφαλος διαγιγνώσκεται με μια λεπτομερή νευρολογική εξέταση και με απεικονιστικές μεθόδους, ανάλογα με την ηλικία, τα συμπτώματα και τυχόν γνωστές ή ύποπτες ανωμαλίες στον εγκέφαλο και τον νωτιαίο μυελό.
Η νευρολογική εξέταση περιλαμβάνει:
- Έλεγχο της μυϊκής δύναμης και των αντανακλαστικών
- Ικανότητα συντονισμού και ισορροπία
- Εκτίμηση της όρασης, κίνησης των ματιών και ακοής
- Προσδιορισμός της ψυχικής λειτουργίας και διάθεσης
Οι κυριότερες απεικονιστικές μέθοδοι που χρησιμοποιούνται για την διάγνωση του υδροκέφαλου είναι:
- Η μαγνητική τομογραφία (MRI) μπορεί να καθορίσει εάν οι κοιλίες είναι διευρυμένες, να αξιολογήσει τη ροή του ΕΝΥ και να παρέχει πληροφορίες σχετικά με τον εγκεφαλικό ιστό που περιβάλλει τις κοιλίες.
- Η αξονική τομογραφία (CT) μπορεί να δείξει εάν οι κοιλίες είναι διευρυμένες ή εάν υπάρχει απόφραξη.
- Οσφυονωτιαία παρακέντηση, επιτρέπει την εκτίμηση της πίεσης του ΕΝΥ και την ανάλυση του υγρού εισάγοντας μια βελόνα στο κάτω μέρος της πλάτης, αφαιρώντας το υγρό και εξετάζοντάς το
- Η παρακολούθηση της ενδοκρανιακής πίεσης, κατά την οποία χρησιμοποιείται ένα μικρό πιεσόμετρο που εισάγεται στον εγκέφαλο ή τις κοιλίες για τη μέτρηση της πίεσης και την ανίχνευση της ποσότητας οιδήματος που μπορεί να έχει εμφανιστεί στον εγκέφαλο. Εάν η πίεση είναι πολύ υψηλή, μπορεί να παροχετευτεί το ΕΝΥ για να διατηρηθεί η ροή του οξυγονωμένου αίματος στον εγκέφαλο.
Πως μπορούμε να θεραπεύσουμε έναν ασθενή με υδροκέφαλο;
Στόχος της θεραπείας είναι να μειωθεί ή να αποτραπεί η εγκεφαλική βλάβη μέσω της αποκατάστασης της φυσιολογικής κυκλοφορίας του εγκεφαλονωτιαίου υγρού.
Εάν προσεγγίσουμε χειρουργικά τη νόσο, υπάρχουν δύο επεμβατικές επιλογές:
- Βαλβίδα εισάγεται χειρουργικά στον εγκέφαλο και συνδέεται με έναν εύκαμπτο σωλήνα που τοποθετείται κάτω από το δέρμα για να οδηγήσει το υπερβολικό υγρό είτε στην κοιλότητα του θώρακα είτε στην κοιλιά, ώστε να μπορεί να απορροφηθεί από το σώμα.
- Ενδοσκοπική Τρίτη κοιλιοστομία (ETV), η οποία βελτιώνει τη ροή του ΕΝΥ έξω από τον εγκέφαλο. Μια μικροσκοπική τρύπα δημιουργείται στο κάτω μέρος της τρίτης κοιλίας και το ΕΝΥ εκτρέπεται εκεί για να εκτονωθεί η πίεση.
Άλλες θεραπείες μπορεί να περιλαμβάνουν:
- Αντιβιοτικά εάν υπάρχουν σημεία λοίμωξης. Σοβαρές λοιμώξεις μπορεί να απαιτούν την αφαίρεση της βαλβίδας παροχέτευσης.
- Αφαίρεση ή κάψιμο (καυτηρίαση) των τμημάτων του εγκεφάλου που παράγουν το ΕΝΥ.
Πότε πρέπει να συμβουλευτούμε έναν γιατρό;
Θα πρέπει να αναζητήσετε επείγουσα ιατρική βοήθεια εάν το βρέφος σας εμφανίσει τα εξής συμπτώματα:
- Έντονο κλάμα
- Προβλήματα στο πιπίλισμα και στο τάισμα
- Επαναλαμβανόμενοι εμετοί χωρίς κάποια σαφή αιτία
- Επιληπτικές κρίσεις
Εάν βρίσκεστε σε οποιαδήποτε άλλη ηλικιακή ομάδα και εμφανίζετε τα χαρακτηριστικά συμπτώματα του υδροκέφαλου, θα πρέπει να αναζητήσετε άμεσα ιατρική βοήθεια.
Οι παθήσεις που μπορούν να προκαλέσουν Υδροκεφαλία είναι πολλές. Για τον λόγο αυτό είναι σημαντικό να αντιλαμβανόμαστε την σοβαρότητα των συμπτωμάτων και να αναζητούμε ιατρική βοήθεια άμεσα, ώστε να λαμβάνουμε έγκαιρη διάγνωση και την κατάλληλη θεραπεία.
Βιβλιογραφικές πηγές:
- https://www.ninds.nih.gov/health-information/disorders/hydrocephalus
- https://medlineplus.gov/ency/article/001571.htm
- https://www.neurosurgerygennimatas.gr/Diseases/Udrokefalos/
- https://www.mayoclinic.org/diseases-conditions/hydrocephalus/symptoms-causes/syc-20373604
- https://www.sciencedirect.com/science/article/pii/S0010945223000102?via%3Dihub
- https://www.hygeia.gr/ydrokefalos-o-afanis-symmachos-tis-anoias/
- Chapter 6 – Hydrocephalus in Children and Adults. (2012). In S. I. Richard G. Ellenbogen, Principles of Neurological Surgery (Third Edition) (pp. 105-127).
- Congenital malformations of the brain. (2003). In W. E. David Kendal Stevenson, Fetal and neonatal brain injury: mechanisms, management, and the risks of practice 3rd edition (pp. 117-118). Cambridge University Press, Cambridge, © 2003.
Κοινοποιήστε
Αρχές Βιοηθικής και Διαχείρισης των Ζώων στην Βιοϊατρική Έρευνα και την Κτηνιατρική Επιστήμη
Η παρούσα μελέτη, προσεγγίζοντας το ζήτημα των καινοτόμων θεραπευτικών σχημάτων επιχειρεί να αναδείξει το ευρύτερο πλαίσιο και τις αρχές στο πεδίο της βιοηθικής και διαχείρισης των ζώων στην βιοϊατρική έρευνα και την κτηνιατρική επιστήμη
Βήμα προς βήμα το θερμικό σοκ σε ένα βρέφος
Το θερμικό σοκ σε βρέφη είναι ταχύτατα εξελισσόμενο και δυνητικά θανατηφόρο.
Κάθε λεπτό καθυστέρησης αυξάνει τον κίνδυνο βλάβης ή θανάτου.
ΡΟΗ ΕΙΔΗΣΕΩΝ
ΔΙΑΒΑΣΤΕ ΕΠΙΣΗΣ
Βρείτε μας στο Facebook και στο Instagram
Επικοινωνία
Η ομάδα μας
Διαφημιστείτε στη truemed.gr
Όροι χρήσης
Προσωπικά δεδομένα
Copyright©Truemed
Για περισσότερη ζωή
Designed – Developed by Premiumweb.gr
| Επικοινωνία | Η ομάδα μας | Διαφημιστείτε στη truemed.gr| | Όροι χρήσης | Προσωπικά δεδομένα | Copyright©Truemed | |Για περισσότερη ζωή |
Designed – Developed by Premiumweb.gr
© 2019 TrueMed Media. All rights reserved. Our website services, content, and products are for informational purposes only. TrueMed Media does not provide medical advice, diagnosis, or treatment.
Το μέλος αυτό έχει μπει στην ομάδα της TrueMed, αλλά ακόμα δεν εχει συνεισφέρει κάποιο άρθρο στην σελίδα μας.









